Cosmetic Dentistry
Cosmetic dentistry may range from the replacement of an unsightly filling, through tooth whitening to smile makeovers.
Tooth whitening
There are many systems and products available for this popular procedure. We use a gentle system of home whitening which is usually carried out overnight.
At the initial appointment, impressions are taken of the teeth so that accurate, close fitting whitening trays may be made. These are clear, light weight trays that will hold the whitening gel against the teeth. The starting tooth shade is measured and recorded.
At a second appointment, usually 2 weeks later, the trays are checked and full instructions are given.
The trays are worn with the supplied gel overnight. Whitening will then occur from 2 -3 weeks.
Some sensitivity may occur during treatment, but this is reversible and there are ways that this may be helped.
We are delighted to be able to whiten teeth because it is effective, safe and conservative to the teeth.
The resultant whitening may be maintained by ‘topping up’ with 6 nights bleaching per year.
Additional bleach may be obtained from the practice.
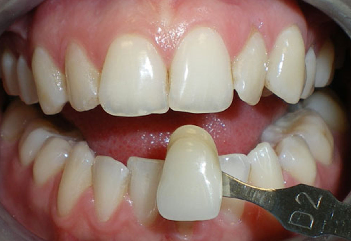
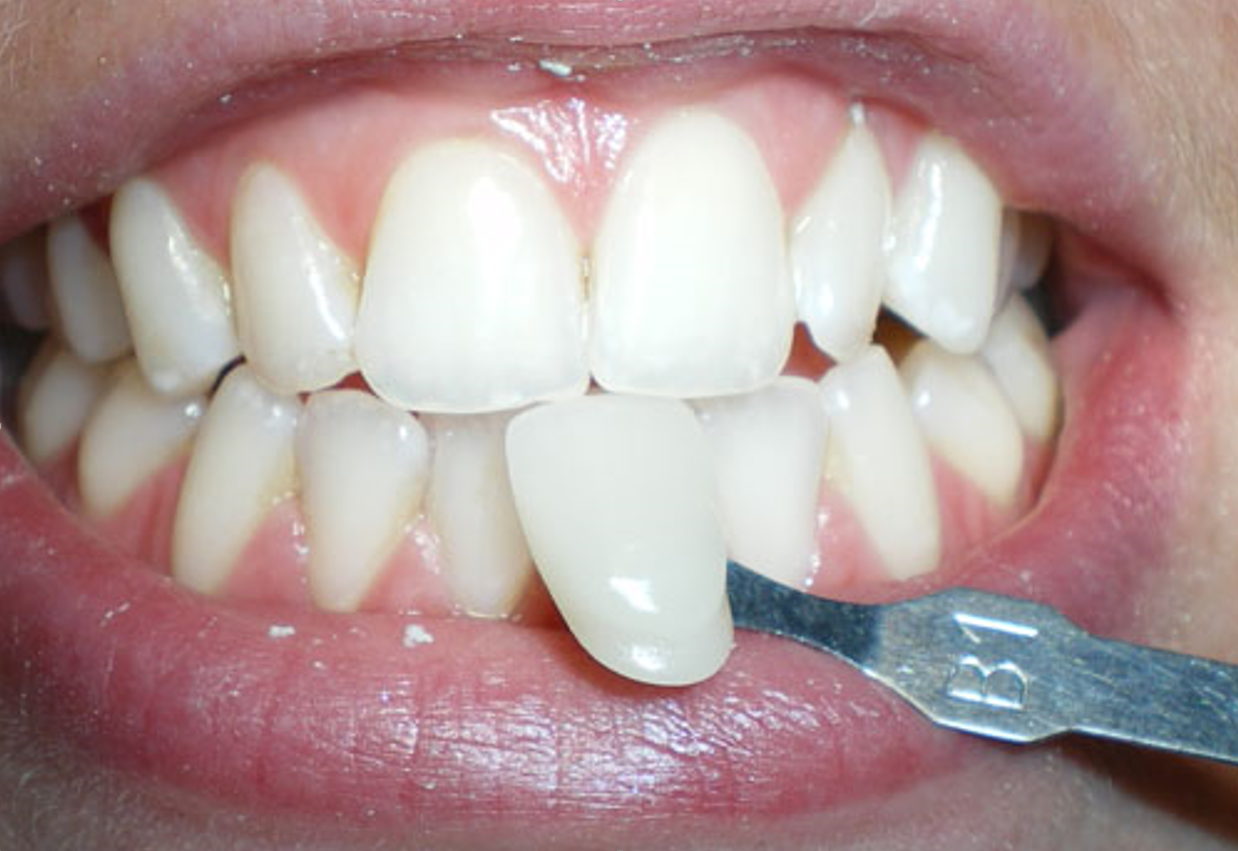
Porcelain veneers
Porcelain veneers are thin facings that are custom made in the laboratory to fit over a prepared tooth surface.
They may used to disguise discoloration, correct minor misalignments and close spaces.
Provisional veneers are fitted whilst the final veneers are being made.
They can be made for single teeth, where a shade is taken to match the other teeth. Or they may be made in multiples, where a new tooth shade may be chosen.
However, as tooth preparation is required, this is an irreversible procedure and veneered teeth will be committed to a long term replacement and maintenance program.
Composite bonding and recontouring
Composite resins are the same materials used for white fillings. They are versatile, can be matched to surrounding tooth structure and can be used to reshape a single tooth or several teeth. Often minimal tooth preparation is required.
These techniques are especially useful in the treatment of worn or disfigured teeth to restore them to function and a pleasing appearance.



